Санація порожнини рота
Скакун Л. М.

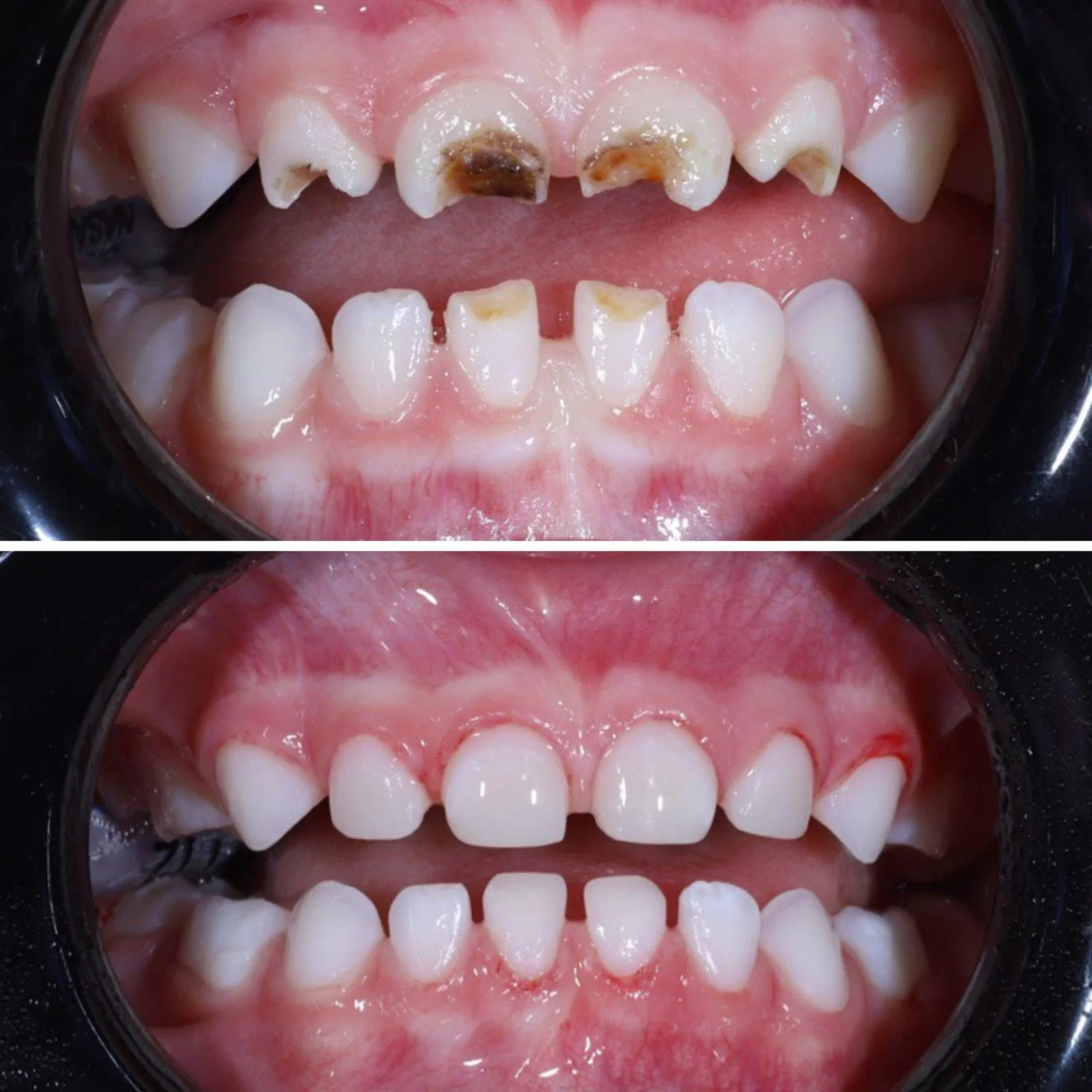
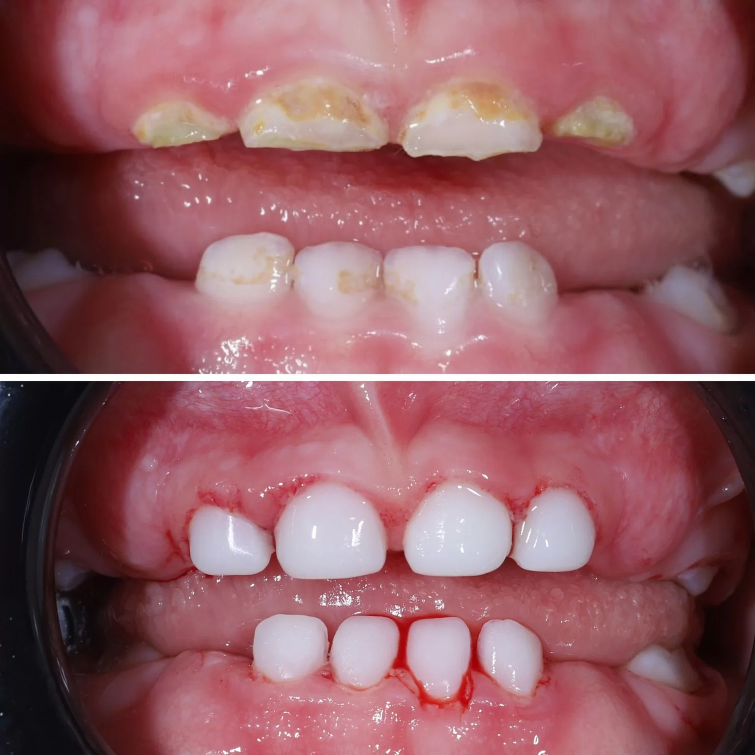
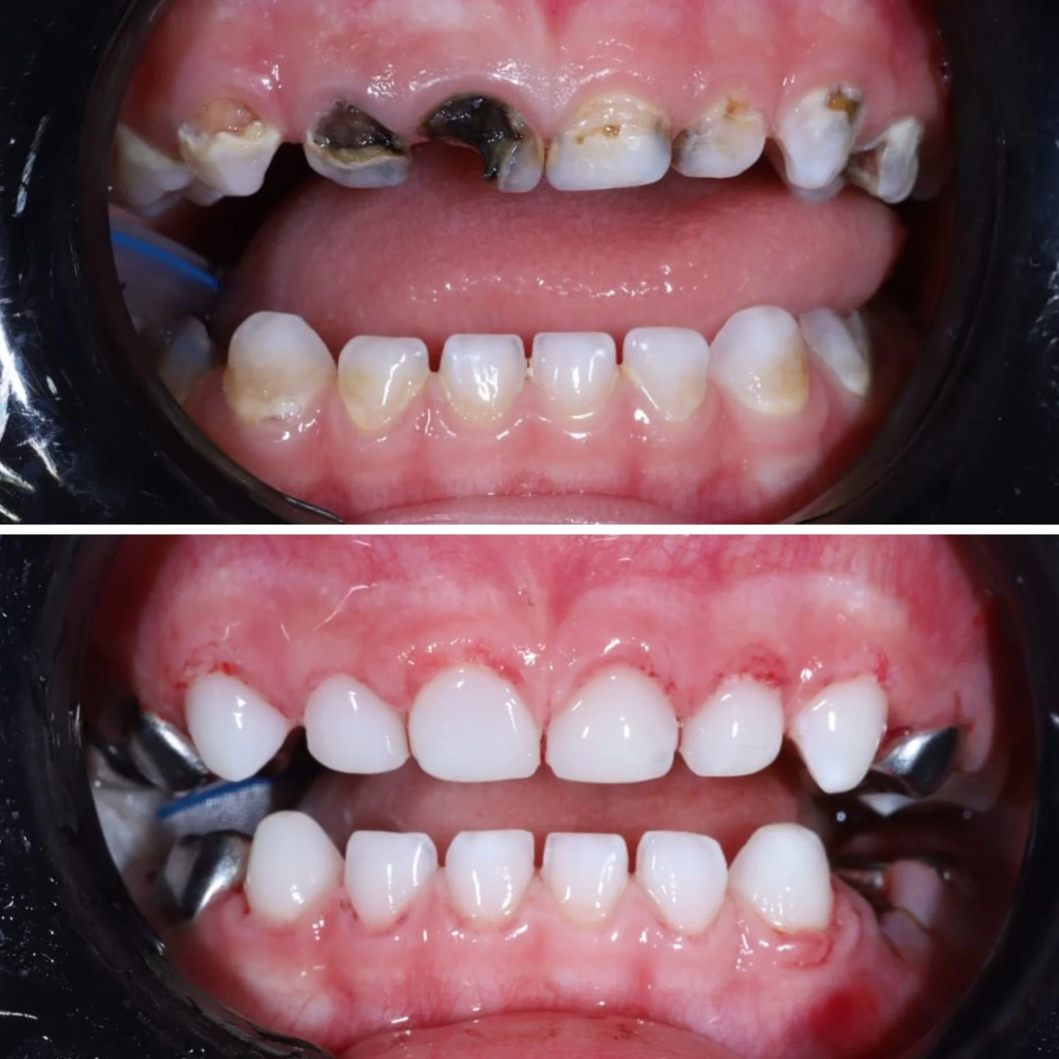
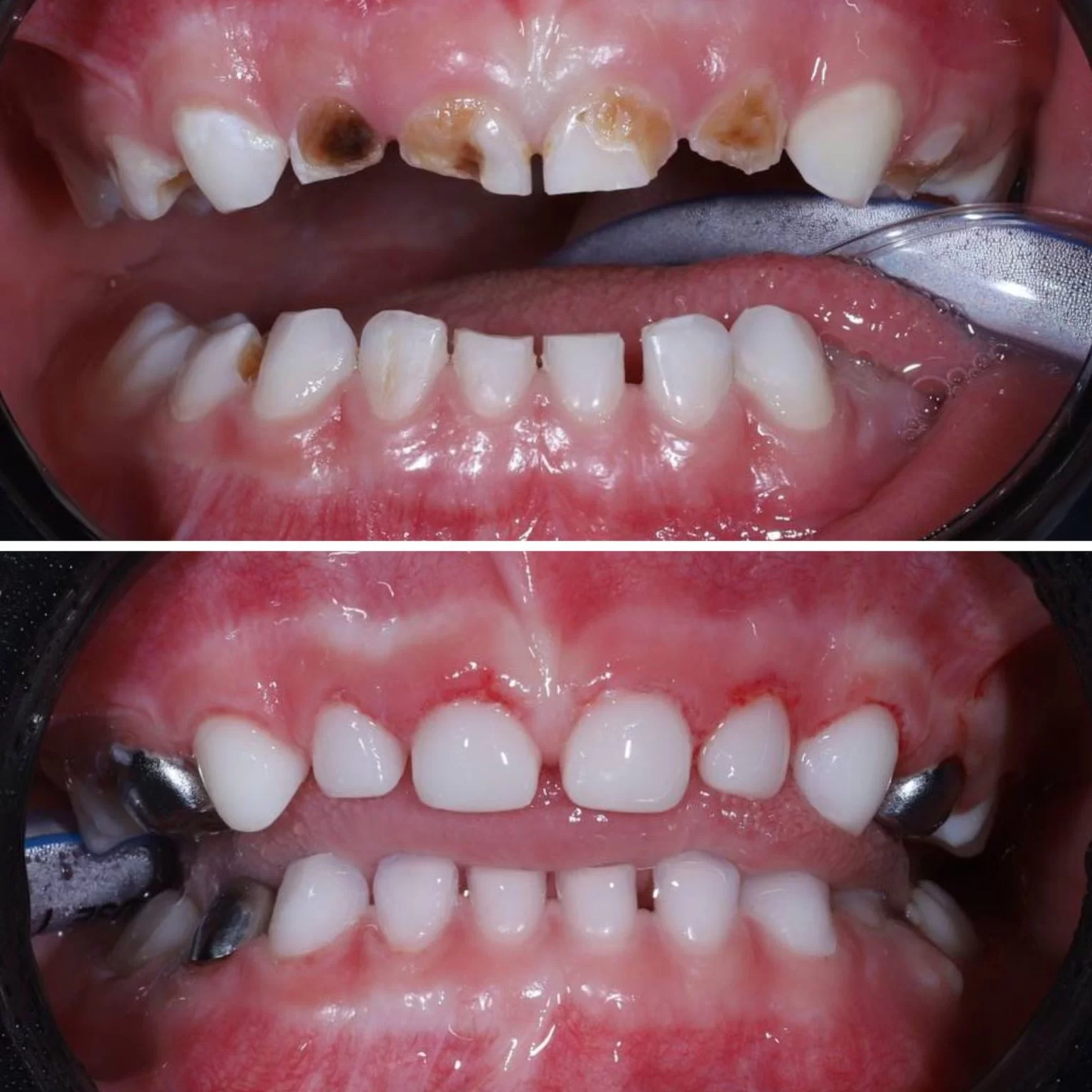
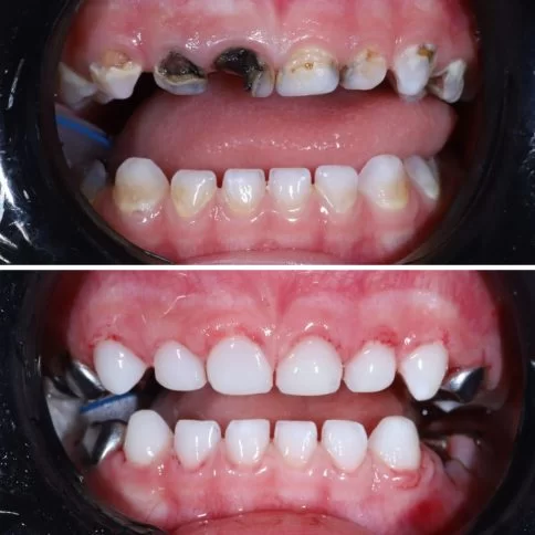
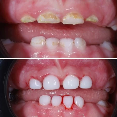
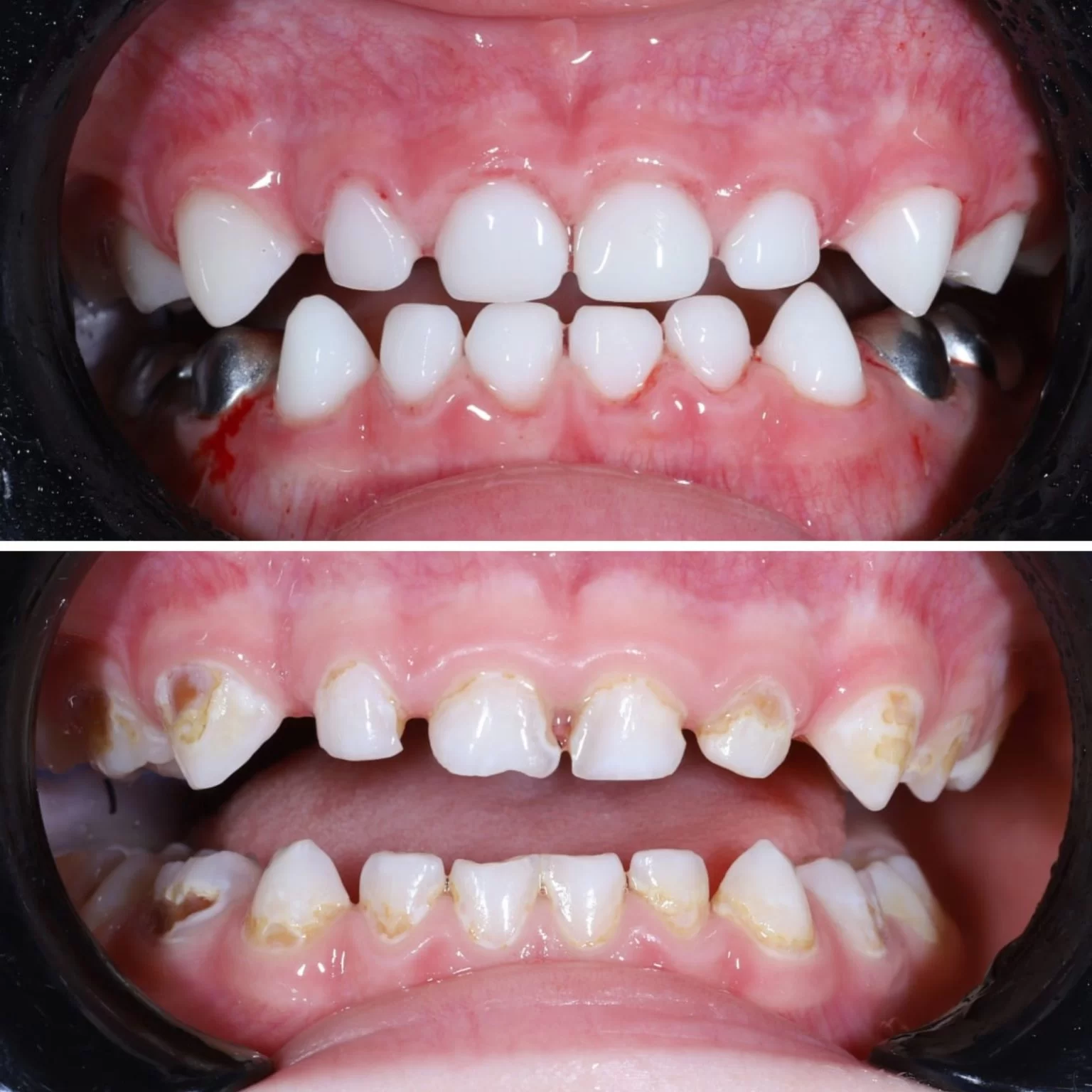
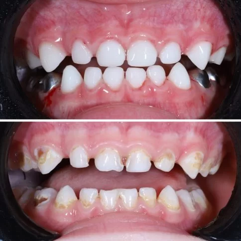
Санація порожнини рота – комплекс лікувально-профілактичних заходів щодо оздоровлення порожнини рота, виявлення та усунення патологічних змін та функціональних порушень органів порожнини рота, попередження стоматологічних захворювань.

Є основним компонентом стоматологічної профілактики.