• Головна
  • Послуги
    • Ортодонтія
    • Відбілювання зубів
    • Дитяча стоматологія
    • Ендодонтія
    • Медикаментозний сон
    • Ортопедія
    • Пародонтологія
    • Терапія
    • Хірургія
  • Стерилізація
  • Роботи
  • Прайс
  • Контакти
  • Записатися
050 211 82 22 067 011 82 22
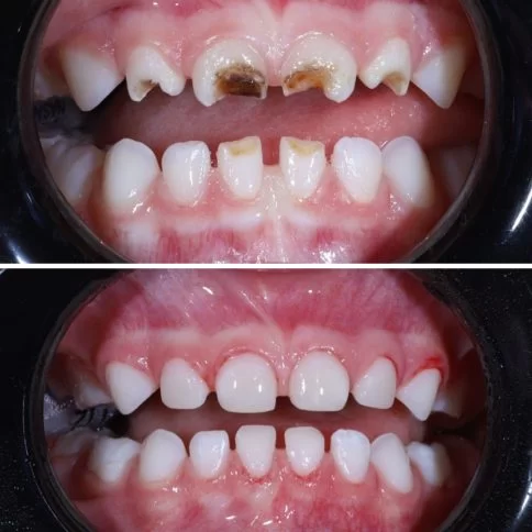
Санація порожнини рота
Проведено комплекс лікувально-профілактичних заходів щодо оздоровлення порожнини рота
Контакти
050 211 82 22
067 011 82 22
Пн - Пт 09:00 - 18:00
м. Чернівці
вул. Б.Хмельницького, 5
Публічний договір
Розробка сайту: LoopyLab